Röntgen Görüntüleme Hizmetleri
Röntgen Görüntüleme Hizmetleri

Dijital Göğüs Posteroanterior (PA) Akciğer Radyografi Çekimi ve Değerlendirilmesi
- Çalışma hayatındaki toksik maddelerin en fazla vücuda giriş yolu akciğerlerdir.Çevresel ve mesleksel solunumla alınan etkenler farklı yollarla birçok solunum sistemi hastalığının gelişmesinde rol oynar. Dolayısıyla birçok solunum hastalığının mesleksel ve çevresel etkenlerle ilişkili olduğu söylenebilir.
- Pnömokonyozlar mesleksel akciğer hastalıkları içinde, neden oldukları özgül kronik sonuçlar nedeniyle ayrı bir yere sahiptir. Dolayısyla işletmede çalışanların sağlık gözetiminin detaylı ve doğru yapılması çok önemlidir.
- Bununla birlikte sadece akciğer grafisi çektirmek ne yazık ki çözüm değil. Çekilen filmin kalitesi, okuyucu kalitesi, cihazın kalitesi vs. birçok etken vardır. Bu kapsamda NIOSH Guideline (Application of Digital Radiography for the Detection and Classification of Pneumoconiosis) buradan ve ILO International Classification of Radiographs of Pneumoconiosis (Digital format) buradan kriterlerine göre çekim ve değerlendirme yapmak önemlidir.
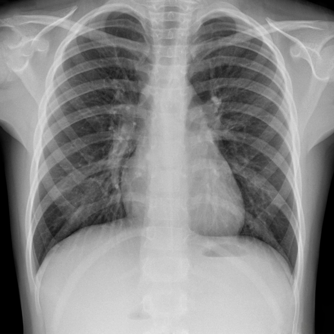
- ILO 2011-D Standartlarında çekilmiş Dijital Göğüs Radyografisi
- ILO 2011-D Standartlarında çekilmiş Dijital Göğüs Radyografisi radyolog değerlendirme raporu
-
Aracımızda bulunan Dijital Göğüs Radyografilerinin çekileceği Dijital Radyografi cihazı "DR" özelliktedir.
-
DR cihazımız ILO Pnömokonyoz Radyografilerinin Uluslararası Sınıflandırması Rehberindeki ve NIOSH standartlarına uygundur ve NDK (Nükleer Denetleme Kurumu) Lisans belgelidir.
-
Dijital röntgen cihazının flat panel dedektörünün boyutu 35 X 43 cm. dir.
-
Dijital röntgen cihazının flat panel dedektörü 15.050.000 (on beş milyon elli bin) Pixeldir.
-
Röntgen tüpü ile flat panel dedektör arasındaki mesafe, ILO Pnömokonyoz Radyografilerinin Uluslararası Sınıflandırması Rehberine ve NIOSH standartlarında ve sabit 1.8 metre (180 cm) mesafesindedir. Bu mesafe sabitlenmiştir.
-
Otomatik senkron statif sayesinde teknik peronel hatası minimuma inmiştir.
- Çekilen Dijital Göğüs Radyografileri, ILO Pnömokonyoz Radyografileri Uluslararası Sınıflandırması Rehberindeki standartlara uygundur, birinci ya da ikinci teknik kalitede dijital göğüs radyografi çekimi ve görüntülemesi yapılacaktır.
- Çekilen tüm dijital göğüs radyografileri, DICOM formatında elektronik ortamda işyeri sağlık birimine verilir
- Aynı zamanda en son çıkan yönetmelikler gereği E-nabız aktarımları yapılarak kişilerin görmeleri sağlanır.
- Çekilen Göğüs Radyografileri, ILO Pnömokonyoz Radyografıleri Uluslararası Sınıflandırması Rehberindeki standartlara uygun olarak en az 21" (inç) büyüklükte medikal ekranda okunup değerlendirilir.


- Çalışanların pnömokonyoz yönünden akciğer radyografilerinin değerlendirilmesi ILO Pnömokonyoz Radyografilerin Uluslararası Sınıflandırması Rehberine göre yapılacaktır. Değerlendirmeler ILO Uluslararası Pnömokonyoz Radyografileri Sınıflandırılması konusunda eğitim almış ve "ILO Pnömokonyoz Okuyucu Sertifikası" sahibi olan 2 (iki} okuyucu tarafından yapılır.
- Okuyucular deneyimli ve kendi alanında uzman olan kişilerden oluşmaktadır. Teklif sırasında okuyucuların sertifika bilgileri paylaşılacaktır
- Okuyucuların her biri radyografilerin değerlendirmesini birbirinden bağımsız olarak, kör okuma şeklinde yapılır.
- Her bir çalışan için "nihai değerlendirme sonuç raporu" düzenlenecek, 2 hekim tarafından da kaşelenip imzalanır.